Toxoplasmose: o que é, transmissão, prevenção e cuidados na gravidez

A toxoplasmose é uma infecção causada por um parasita chamado Toxoplasma gondii. O seu impacto no organismo pode variar bastante, desde sintomas leves até complicações mais graves.
Na maioria das vezes, a infecção é completamente assintomática, porém, em algumas situações específicas, como durante a gravidez ou em pessoas com o sistema imunológico comprometido, a toxoplasmose pode ter manifestações graves.
Como a toxoplasmose é transmitida?
O Toxoplasma gondii tem a característica de ser incrivelmente adaptado a diferentes formas de transmissão, algumas das principais maneiras de se contrair a toxoplasmose são:
- Alimentos contaminados: o parasita pode estar presente nos tecidos musculares de animais como porco, cordeiro ou veado. Assim, o consumo de carnes mal cozidas é uma das formas mais comuns de contaminação.
- Água contaminada: a água não tratada pode conter os oocistos (uma forma resistente do parasita) eliminados pelas fezes de gatos.
- Contato com fezes de gato: o Toxoplasma gondii tem como principais hospedeiros os felinos. Dessa forma, um gato contaminado elimina os oocistos nas fezes, que podem se espalhar pelo ambiente e infectar outros animais e humanos.
- Transmissão vertical: que é quando uma gestante infectada transmite o parasita ao bebê durante a gravidez.
Toxoplasmose e gravidez
A toxoplasmose durante a gravidez deve ser motivo de muita preocupação, já que a transmissão da infecção da mãe para o bebê pode causar complicações sérias, conhecidas como toxoplasmose congênita.
Os riscos para o bebê dependem do momento em que a infecção ocorre:
- Primeiro trimestre: maior chance de consequências graves, como abortamento espontâneo e malformações graves.
- Terceiro trimestre: embora a probabilidade de transmissão seja maior, os impactos tendem a ser menos severos.
Os sintomas em recém-nascidos com toxoplasmose congênita podem incluir problemas oculares, alterações neurológicas e até dificuldades de aprendizado no futuro.
Por conta desses fatores, gestantes são aconselhadas a realizar exames de sangue específicos, como o teste de IgG e IgM, para verificar se já possuem imunidade ou se estão em risco de infecção por toxoplasma.

Tipos de toxoplasmose
Embora seja causada pelo mesmo parasita, a toxoplasmose pode se manifestar de formas variadas:
- Toxoplasmose assintomática: a mais comum, sem qualquer sintoma.
- Toxoplasmose ocular: pode afetar a retina causando inflamação, que pode levar à perda parcial ou total da visão.
- Toxoplasmose congênita: transmitida da mãe para o feto durante a gestação, que pode causar malformações, alterações oculares e neurológicas.
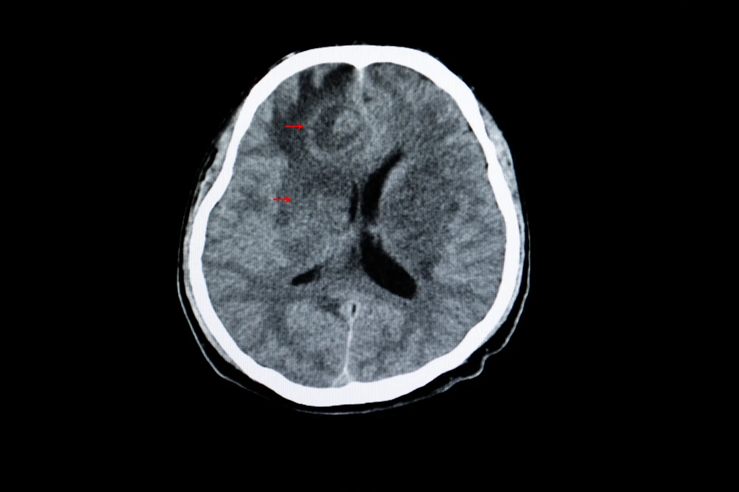
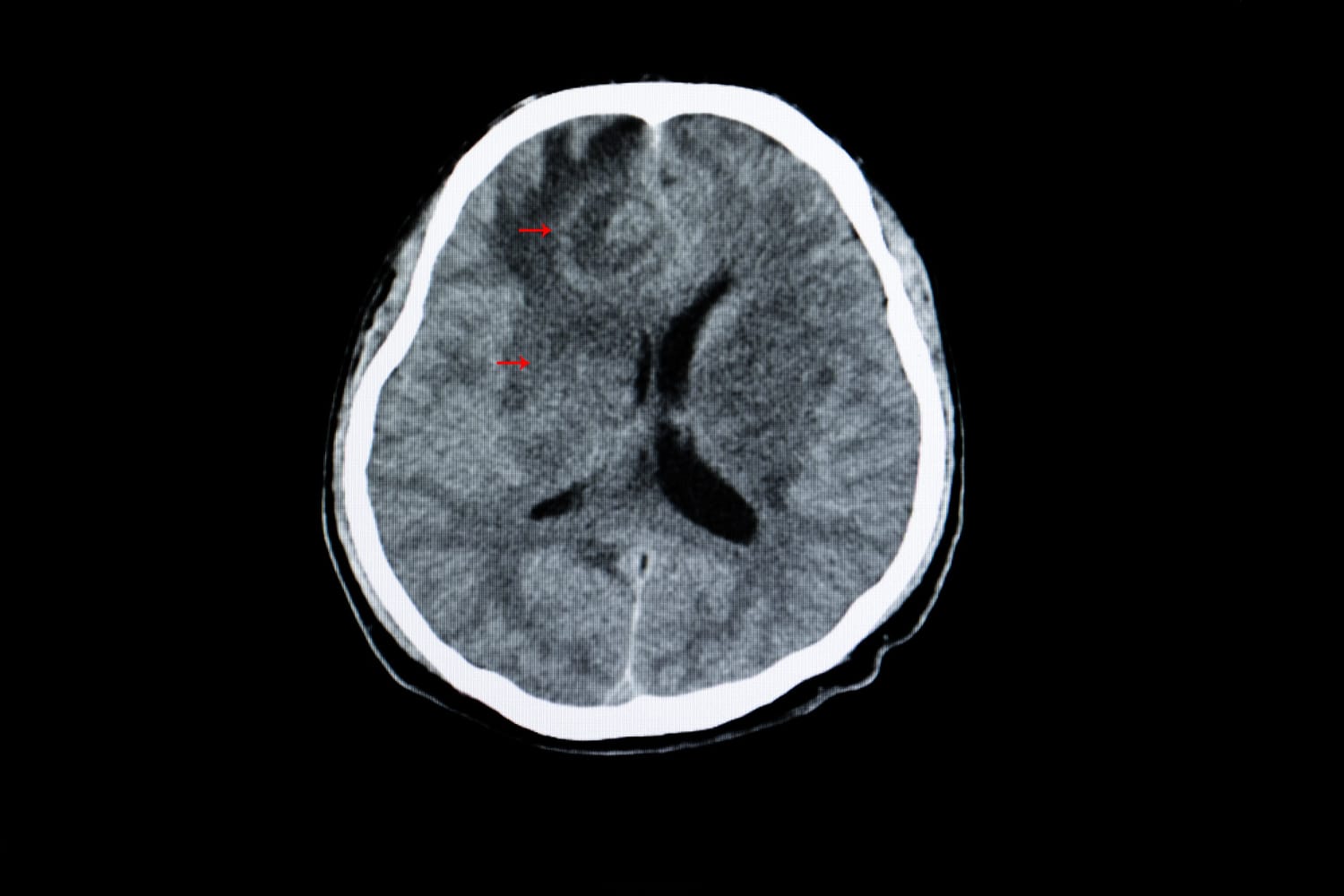
- Toxoplasmose em imunossuprimidos: pacientes portadores de HIV ou que fazem uso de medicamentos imunossupressores têm maior risco de desenvolver formas graves, como encefalite.
Prevenção
Prevenir contra a toxoplasmose exige atenção a alguns hábitos simples no dia a dia:
- cozinhar bem as carnes antes de consumi-las.
- lavar frutas e vegetais.
- evitar beber água de fontes não tratadas.
- usar luvas ao manipular terra ou jardinagem, especialmente se há gatos no local.
- limpar a caixa de areia do seu gato diariamente, usando luvas e higienizando as mãos em seguida.
Considerações finais
A toxoplasmose, apesar de não ser uma ameaça imediata para a maioria das pessoas, exige uma abordagem cuidadosa, especialmente em situações de maior vulnerabilidade, como na gravidez.
Por isso, é essencial o conhecimento sobre a doença para que seja possível evitar complicações para populações de risco, afinal, cuidados simples podem fazer toda a diferença.