Angiotomografia: o que é, para que serve e como funciona

A angiotomografia, também conhecida como Angio TC, é uma tomografia com contraste intravenoso cujas imagens são adquiridas após um tempo bastante curto depois da administração do contraste, onde ele ainda se encontra no interior das artérias e/ou em um segundo tempo um pouco mais tardio onde o contraste já se encontra no sistema venoso.
Dessa forma, é um método utilizado para a análise dos trajetos, calibres, contornos e opacificação/pervidade dos segmentos arteriais e venosos de diversas regiões do corpo.
Esse é um exame capaz de identificar a anatomia e uma variedade de condições clínicas relacionadas ao sistema circulatório, como por exemplo, aneurismas e obstruções dos vasos sanguíneos.
Um dos fatores que tornam a angiotomografia tão eficaz é a possibilidade de analisar os vasos sanguíneos sem submeter o paciente a métodos diagnósticos mais invasivos.
O que é
A Angiotomografia, ou Angio TC, é um exame de imagem que faz uso do aparelho de tomografia computadorizada e do contraste iodado intravenoso em tempos de aquisição específicos para analisar as veias e artérias do corpo do paciente.
Um exame com contraste pode ser útil na análise de estruturas e órgãos diferentes dependendo do tempo decorrido entre a aquisição das imagens e a injeção de contraste através de uma veia periférica. Por meio de radiação ionizante e fileiras de detectores, as imagens são adquiridas pelo tomógrafo, processadas de acordo com as fases de exame solicitadas e organizadas para análise médica do radiologista.
As fases pós-contraste na angiotomografia podem ser feitas com uso de dois tempos principais, o primeiro, é chamado de fase angiográfica, adquirido de maneira tão precoce que a maior parte do contraste ainda se encontra dentro das artérias; o segundo tempo, conhecido como fase venosa, é adquirido de maneira mais tardia para que o contraste tenha chegado aos órgãos e estruturas periféricas, passado através da sua rede de vasos capilares e chegado ao sistema venoso.
Usualmente, adquirem-se também imagens antes da injeção do contraste intravenoso, para avaliação de calcificações ateromatosas nas paredes dos vasos e outras condições mais raras como hematomas parietais, cuja avaliação depende da análise do conjunto de imagens pré e pós-contraste.
Tipos

Como visto, o foco da análise dos estudos angiotomográficos são os vasos do corpo.
O simples estudo anatômico das artérias e veias tem importância em decisões cirúrgicas como no planejamento de acessos venosos de longa duração em pacientes em tratamento de condições oncológicas, em transplantes renais e hepáticos e mesmo em cirurgias eletivas para que o cirurgião não se surpreenda com variações anatômicas durante o ato cirúrgico.
A investigação de doenças vasculares arteriais como ateromatose, obstruções arteriais agudas, dissecções, estenoses e aneurismas, bem como venosas tais quais tromboses crônicas e agudas são as indicações mais frequentes na prática clínica.
Desde o estudo de processos crônicos como a ateromatose até a investigação de condições clínicas e cirúrgicas dentro de um contexto de urgência e emergência, os exames angiotomográficos são presença constante nas telas dos radiologistas. A seguir, elencamos e fornecemos uma breve explicação de alguns de alguns dos seus usos:
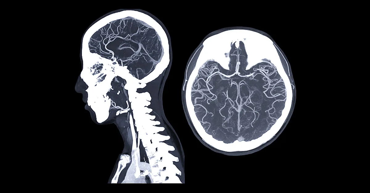
Angiotomografia do crânio
A angiotomografia de crânio é frequentemente solicitada em conjunto com a angiotomografia cervical para estudo da circulação carotídea, vertebral e intracraniana.
As imagens podem revelar variações anatômicas, aneurismas, malformações arteriovenosas ou ainda um ponto de obstrução de um segmento arterial dentro da investigação de urgência de um acidente vascular encefálico isquêmico, os conhecidos AVCs ou derrames cerebrais.
Angiotomografia Coronariana
As artérias coronarianas são os vasos sanguíneos que levam sangue e nutrem o coração. Seu envolvimento por doença ateromatosa pode levar à isquemia do tecido cardíaco, ou seja, um suprimento sanguíneo aquém do demandado pelo coração, condição conhecida como Infarto Agudo do Miocárdio.
A angiotomografia coronariana é um exame de imagem que pode ser solicitado para diagnóstico de doença ateromatosa coronariana (placas nos vasos do coração) com possibilidade de quantificação dessa e estimativa de risco de eventos cardiovasculares adversos através do Escore de Cálcio, por exemplo, ou acompanhamento de tratamento intervencionistas como angioplastias com ou sem stents e cirurgias de revascularização.
Angiotomografia de Tórax
O termo angiotomografia de tórax acaba sendo usado como sinônimo do exame de Angiotomografia das Artérias Pulmonares, ou Protocolo de Tromboembolismo Pulmonar (TEP), no jargão médico. É um exame de imagem dedicado à procura de sinais de trombos agudos e crônicos na circulação arterial pulmonar de suas consequências, como sobrecarga das câmaras cardíacas direitas e infartos do parênquima pulmonar.
Angiotomografia da Aorta
A aorta é a maior artéria do corpo. Ela conecta o coração (ventrículo esquerdo) ao restante do corpo através dos seus múltiplos ramos.
Trata-se de uma estrutura especialmente vulnerável a uma série de condições clínicas, como ateromatose, aneurismas, dissecções traumáticas e vasculites devido ao seu comprimento, calibre e relações com estruturas vizinhas que por vezes a tornam mais fixa em alguns segmentos, os quais podem funcionar como componentes de forças de cisalhamento durante traumas.
A angiotomografia da aorta é o exame de imagem de escolha nessas avaliações. A análise do segmento torácico e abdominal da aorta costuma ser solicitada em conjunto com a pelve para estudo das artérias ilíacas comuns, ramos terminais diretos da aorta abdominal.
Após terapêuticas como a interposição de endopróteses e a próteses por meio de cirurgia abdominal convencional para tratamento de aneurismas e dissecções, por exemplo, o exame costuma também ser solicitado como forma de acompanhamento periódico.
Angiotomografia de membros inferiores
De maneira similar ao estudo angiotomográfico de outros segmentos distais, a angiotomografia de membros inferiores possui a análise arterial e venosa como possibilidade de estudos. As indicações também se sobrepõem ao que já foi apresentado.
Na fase arterial pode-se procurar por estenoses (estreitamentos) decorrentes de placas ateromatosas ou vasculites, aneurismas – aqui vale a menção ao aneurisma da artéria poplítea, segmento periférico mais frequente de dilatações aneurismáticas – e pontos de oclusão arterial aguda e crônica.
Na fase venosa, mais uma vez, destacam-se as buscas por pontos favoráveis a acessos venosos, e pesquisa de trombose aguda e crônica.
Indicações menos frequentes incluem os estudos de malformações arteriovenosas e do suprimento sanguíneo de tumores.
Como a angiotomografia é realizada

O exame começa com a obtenção de um acesso venoso periférico, normalmente alguma veia do braço do paciente, calibroso o suficiente para a injeção do meio de contraste iodado com uma velocidade de cerca de 4 cm/s, necessária para a opacificação adequada do território arterial.
O paciente então, deita-se na maca do aparelho de tomografia para início do exame, ocorre a injeção do contraste por meio da bomba injetora e após os tempos específicos após a injeção do contraste, ocorre a aquisição das imagens.
O relato de sensações de calor com o contraste surgem com certa frequência, não devendo trazer grande preocupação aos pacientes. Caso não se conheça histórico de alergia ao meio de contraste e o paciente esteja realizando o exame pela primeira vez deve-se ter especial atenção ao surgimento de dificuldades para respirar, rouquidão, erupções cutâneas e outros sinais de alergia ao contraste iodado, condições que devem ser imediatamente relatadas pelo paciente para que se preste suporte médico.
Duração do exame e contraindicações
O exame de Angio TC tem duração variável, dependendo da quantidade de segmentos estudados, em geral não ultrapassa cerca de dez a quinze minutos.
Clínicas e hospitais costumam enviar recomendações específicas nos dias que antecedem o exame de acordo com os protocolos institucionais.
As principais contraindicações ao exame são falha na obtenção de um acesso venoso periférico e alergia ao meio de contraste iodado.
Em alguns pacientes pode ser muito complicado conseguir acesso em uma veia adequada para injeção do contraste e realização do exame, sobretudo nos pacientes muito emagrecidos por neoplasias, doenças infecciosas como tuberculose, ou ainda que já tenham sofrido múltiplas manipulações venosas como ocorre com certa frequência nos pacientes renais crônicos em terapia dialítica.
Para os pacientes alérgicos há dois caminhos principais a serem avaliados. Caso a reação alérgica tenha sido branda, sem sintomas respiratórios, a equipe médica pode optar após pesar o risco-benefício do procedimento, por um protocolo de dessensibilização para minimizar as chances de uma nova reação.
Alternativamente, caso a reação alérgica tenha sido moderada/grave, situação na qual o protocolo de dessensibilização não costuma estar indicado, a avaliação das veias e artérias pode ser realizada através de estudos ultrassonográficos com Doppler ou com angioressonância magnética, guardando-se as diferenças e limitações de cada método.