TC de Crânio: o que é e como funciona o exame

A solicitação de um exame de tomografia computadorizada de crânio, ou TC de Crânio, na investigação de uma dor de cabeça, por exemplo, pode trazer certa apreensão ao paciente. Muito dessa preocupação vem do vínculo imediato no imaginário popular desse exame com a investigação de tumores cerebrais.
Apesar da TC de crânio ser, sim, muito útil na investigação de tumores e de suas complicações, o exame não serve apenas para isso. Seu leque de investigação vai muito além, com aplicações em situações de urgência e emergência, como acidentes vasculares encefálicos, traumatismo cranioencefálico, hemorragias intracranianas e em situações ambulatoriais como investigação de demências e cefaleias.
Sendo assim, ao longo deste artigo, falaremos um pouco mais sobre este exame tão solicitado na prática clínica, de forma a esclarecer seu uso, condições mais frequentemente estudadas nas TC de crânio, as diferenças deste método em relação à ressonância magnética e riscos e benefícios associados.
Índice
1. O que é TC de crânio

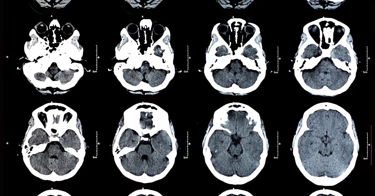
A tomografia computadorizada de crânio, ou TC de crânio, é um exame não invasivo que faz uso de radiação para obter imagens das estruturas intracranianas, das estruturas ósseas do crânio e das partes moles subcutâneas de um paciente.
O tomógrafo (aparelho utilizado) consiste em uma espécie de maca não-fixa que se movimenta com o paciente através das ampolas de emissão de raio-X e das fileiras de detectores que em um movimento helicoidal, circundam o paciente para aquisição das imagens. As imagens são então geradas e processadas, permitindo a análise pelo médico radiologista das estruturas intracranianas, das estruturas ósseas do crânio e das partes moles subcutâneas.
O primeiro destes equipamentos foi construído em 1972 baseado em um modelo matemático criado por Allan Cormack e Godfrey N. Hounsfield. Essa criação foi tão inovadora que lhes rendeu o prêmio Nobel de Medicina e Fisiologia de 1979.
Apesar da utilização da radiação ionizante como nas radiografias simples, a tomografia computadorizada difere dos exames de raio X por realizar uma série de imagens axiais do corpo (como “cortes de um salame”), que podem ser visualizadas de maneira sequencial e reconstruídas em vários planos de visão para melhor análise e interpretação pelo médico radiologista.
A precisão diagnóstica dessas imagens é superior àquela da radiografia para a maioria das condições, sobretudo no crânio.
2. Para que serve uma TC de crânio
Como todo exame de diagnóstico por imagem, a utilidade da TC de crânio reside em sanar uma dúvida clínica.
O laudo do médico radiologista ajuda os neurologistas, neurocirurgiões, psiquiatras e geriatras, por exemplo, no diagnóstico e na condução de uma série de condições clínicas.
Os exames de imagem de crânio, dentre os quais a tomografia, encontram-se já validados e inseridos nas condutas e guidelines de diversas doenças. Na investigação inicial da demência, por exemplo, em conjunto com os dados clínicos dos pacientes, o exame de imagem permite descartar condições que falseiam quadros demenciais, como hematomas subdurais crônicos em idosos, ou ainda sugerir causas que possam justificar o quadro clínico do paciente, como atrofia mesial temporal ou demência de etiologia vascular.
O exame é solicitado, portanto, para variadas queixas dos pacientes, dentre as quais dores de cabeça, tonturas, náuseas, vertigens, fraquezas e alterações visuais. Situações de urgência e emergência como acidentes vasculares encefálicos (AVC) e traumatismos cranioencefálicos também respondem por uma importante parte dos casos em que este exame é solicitado.
3. Diferença entre a TC e a RM de crânio
A tomografia computadorizada utiliza uma pequena quantidade de radiação ionizante e fileiras de detectores para obtenção de imagens através de reconstruções matemáticas feitas por um computador. Já a ressonância magnética, como seu nome sugere, utiliza conceitos de física diferentes para obtenção de imagens através de pulsos de radiofrequência e campos magnéticos.
Uma segunda diferença se dá no meio de contraste utilizado por cada método. Ambos os exames podem ser realizados sem contraste intravenoso, porém quando necessário, a tomografia faz uso do contraste iodado (a base de iodo), enquanto a ressonância magnética utiliza contraste paramagnético (a base de gadolínio). Isso é de conhecimento importante no caso de pacientes alérgicos. O paciente alérgico ao contraste iodado não necessariamente apresentará alergia também ao meio de contraste paramagnético.
O tempo de exame costuma variar de exame para exame, de acordo com a doença em questão, mas genericamente, a tomografia costuma durar não mais que 10 a 15 minutos, mais rápido que exames de ressonância, a qual pode levar entre 15 minutos até mais do que uma hora.
As estruturas intracranianas (encéfalo, diencéfalo, tronco encefálico, cerebelo, sistema ventricular) podem ser avaliadas por ambos os métodos, embora a tomografia apresente menor resolução de contraste que a ressonância magnética para essas, nem sempre tal resolução é necessária, e o método mais rápido e menos custoso pode ser suficiente para sanar a dúvida clínica. Estruturas ósseas da base do crânio e da calota craniana, por outro lado, costumam ser melhor avaliadas através da tomografia.
Como visto, existem indicações clínicas para as quais a tomografia é o método mais indicado, e outras para as quais a ressonância trará informações mais valiosas. A tomografia computadorizada e a ressonância magnética de crânio, portanto, não devem ser encaradas como degraus de uma escada, ou seja, um método não é exatamente superior ao outro de maneira geral, devendo sua indicação ser individualizada conforme a patologia e o paciente em estudo.
4. Principais doenças investigadas pela TC de crânio
Acidente vascular cerebral (AVC)
O AVC recebe uma série de sinônimos como acidente vascular encefálico (AVE) ou “derrame cerebral“. Pode essencialmente ser dividido em dois tipos: AVC hemorrágico e AVC isquêmico.
O AVC hemorrágico é um sangramento intracraniano, pode ocorrer de maneira primária ou como evolução de um AVC isquêmico.
O AVC isquêmico, por sua vez, ocorre quando há uma interrupção de fluxo sanguíneo para uma região do cérebro, que entra em sofrimento devido a falta de aporte de oxigênio. Pode ocorrer por baixo fluxo global como em afogamentos, asfixias ou após paradas cardiorrespiratórias, ou de maneira mais localizada quando um fragmento de placas ateromatosas se desprendem das artérias carótidas ou do coração e acabam obstruindo pequenos vasos do cérebro. A trombose de veias intracranianas também é uma causa de AVC isquêmico.
A diferenciação entre esses dois tipos é prontamente realizada por uma tomografia de crânio. Outros fatores como o efeito expansivo da hemorragia ou da zona isquêmica e de edema, que podem causar complicações, também podem ser identificados. Estudo com contraste iodado das artérias cervicais e intracranianas trazem frequentemente informações adicionais valiosas nestes casos.
Aneurisma cerebral
Acontece quando uma região enfraquecida da parede do vaso sanguíneo da circulação cerebral sofre uma dilatação. Essa região dilatada do vaso é mais frágil, de forma que o maior risco nesse caso, é ruptura do aneurisma com consequente hemorragia intracraniana (AVC hemorrágico).
Para adequada análise por um médico radiologista, é fundamental que a tomografia de crânio seja complementada com fases angiográficas (com contraste intravenoso) para avaliação pormenorizada dos trajetos vasculares.
Um médico radiologista experiente conhece os principais locais em que estes costumam ser formados, assim, com um exame realizado com a técnica adequada, poderá realizar o escrutínio apropriado.
Tumores
Assim como os tumores em outras partes do corpo, o tumor primário cerebral é gerado a partir da evolução anormal de uma célula neoplásica. Os mais de 100 diferentes tipos de tumores primários do sistema nervoso central podem ser classificados de acordo com a velocidade de desenvolvimento e do grupamento de células de onde se originaram. Como o esperado, aqueles que são mais perigosos e agressivos, acabam crescendo mais rápido.
Vale ressaltar que os tumores cerebrais metastáticos, ou seja, implantes cerebrais à distância originados de um tumor primário de outra região do corpo (das mamas, dos pulmões ou dos rins, por exemplo), nos adultos são muito mais frequentes que os tumores originários propriamente do cérebro.
Traumatismo cranioencefálico
Acidentes com impacto direto ou lesões indiretas de desaceleração da cabeça podem gerar certos padrões de lesão tanto da calota craniana quanto do parênquima cerebral. Contusões cerebrais, lesões axonais difusas, fraturas, hematomas subdurais e epidurais são exemplos de condições encontradas com certa frequência em traumatismos cranioencefálicos.
Hidrocefalia
A hidrocefalia acontece quando um acúmulo anormal de líquido cefalorraquidiano ocorre no sistema ventricular dentro do crânio. A consequência mais temida é sua associação com um aumento da pressão intracraniana.
5. A radiação é perigosa?

Ainda que exista a emissão de radiação, os aparelhos de hoje em dia permitem ajustes de configuração para que o paciente se exponha ao mínimo necessário para a aquisição de imagens diagnósticas de qualidade.
A dose de radiação à qual o paciente é exposto, dessa forma, é segura. Ainda assim, a tomografia é um exame diagnóstico de indicação e solicitação médica.
O seu uso indiscriminado e sem acompanhamento por outro lado, pode submeter o paciente a doses acima do limite superior de segurança e não trazer benefícios.
